阿尔茨海默这个微小的、致命的先天缺陷一旦发生在婴幼儿身上,会引发大脑的“生锈”,导致毁灭性的“婴儿阿尔茨海默氏症”。
最新发表在《细胞》杂志上的关于这一遗传问题的发现不仅可以解释一种残酷的童年疾病,还可以为治疗阿尔茨海默氏症等一系列神经退行性疾病打开大门。

图自:Dailymail
来自美国、德国和比利时的研究人员追踪了基因缺陷造成的破坏性条件。这类基因提供了在大脑中构建GPX4酶的指令,负责防止一种称为“铁血症”的生锈型过程所引起的特定类型细胞死亡。
当缺陷发生时,这种基因会导致神经元从里到外“生锈”并死亡。这个过程也在阿尔茨海默氏症等常见痴呆症中发挥作用。在美国,这种痴呆症影响了多达700万美国老年人。
研究人员不仅确定了儿童痴呆症的原因,而且在早期的实验中还表明,他们可以减缓这种细胞“生锈”,为治疗提供了非常难得的希望。
儿童痴呆症是100多种破坏性疾病的集合,如Sanfilippo综合征、Batten病、Alpers综合征和某些形式的线粒体疾病。
就个体而言,这些情况并不算常见;美国有近1.2万名儿童患有痴呆症,大约每2900名婴儿中就有1名患有痴呆症。
这些病人的平均预期寿命只有16年,部分情况低至2年。

12岁的Alivia(右)被诊断出患有Sanfilippo综合征,这是一种罕见的遗传疾病,有时被称为儿童阿尔茨海默氏症。她现在处于幼儿的认知水平,已经失去了走路、清晰说话和记忆的能力。(图自:loveforlivi)
领导这项研究的Marcus Conrad教授将GPX4比作微观的“冲浪板”。要发挥作用,它必须将一个小的“鳍状”环插入神经元的内壁。当它沿着膜“冲浪”时,它在有毒物质“脂质过氧化物”造成损害之前中和了它们。
而在突变基因的情况下,GPX4不会这样做。
研究人员研究了三名患有早期痴呆症的美国儿童,已知所有GPX4基因都有相同的微小突变,扭曲了关键的“鳍”。
“儿童痴呆症”实际上包括大约145种不同的脑部疾病。研究人员从患病的孩子中取出皮肤细胞样本,并将其“重新编程”为干细胞,这个过程叫做诱导多能干细胞(iPSC)技术。从那个干细胞中,他们培养了数百万个人类脑细胞。
接下来,他们给小鼠提供了与儿童相同的基因突变,让研究团队能够观察疾病随着时间的推移在活的大脑中的进展。

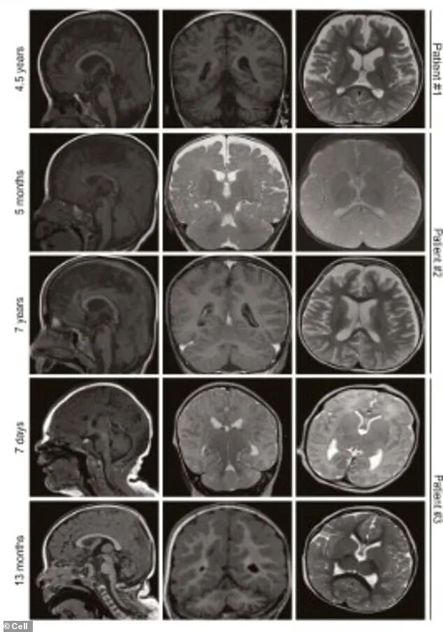
脑部扫描显示“萎缩”。患者的核磁共振扫描显示,小脑、协调中心逐渐收缩,两名患者的大脑皮层收缩,涉及记忆和思维。(图自:《细胞》杂志)
科学家在患病实验鼠和人类阿尔茨海默氏症的大脑中发现了相同的过度活跃的细胞死亡途径,揭示了治疗一系列脑部痴呆疾病的共同靶点,为治疗铺垫道路。
该研究的首批作者之一Svenja Lorenz博士说:“到目前为止,痴呆症研究通常侧重于大脑中的蛋白质沉积,即所谓的淀粉样β斑块。我们现在更加强调对细胞膜的损害,这种损伤首先引发了退化。”
一位来自德克萨斯州的妈妈分享了她的女儿Alivia的致命诊断——Sanfilippo综合征。这是罕见的遗传性疾病之一,通常被称为儿童阿尔茨海默氏症。
现在Alivia 年仅12岁,在幼儿时期已经失去了走路、说话清晰和记忆的能力。
她比大多数病人要晚得多被诊断出来。Alivia早期一度被误诊是多动症和自闭症。
过去,由单一基因突变引起的这种绝症无法被治愈或治疗。患病的孩子会逐渐失去走路、说话和记忆的能力,预期寿命很少超过青少年。
与此同时,在俄亥俄州,一对年轻夫妇的两个年幼的孩子Stella(4岁)和Roman(5岁)被诊断出患有“婴儿阿尔茨海默氏症”罕见遗传性疾病。

Stella(左中)和Roman Arnold(右中)患有一种罕见的遗传疾病,会导致渐进性神经衰弱,同属阿尔茨海默病。他们和父母Donald(最左边)和Jillian(最右边)合影。(图自:Jam Press)
Stella和Roman正在双双挑战困难,二人的预期寿命只有三年。他们患有酸性鞘骨髓酶缺乏症(ASMD),这种状况是缺乏酶使脂肪物质在大脑、肝脏和脾脏中积聚并破坏细胞。

图自:Jam Press
两名孩子患有目前为止最严重的酸性鞘蛋白酶缺乏症,会导致快速、不可逆转的神经系统弱化,跟发生在成人身上的阿尔茨海默病无异。
儿童病例的预期寿命只有两到三年。他们父母唯一的希望是延长孩子们生存期的临床试验。
Adam Wahida博士说:“从长远来看,我们可以预期去稳定这个保护系统的遗传或分子策略。就目前而言,我们的工作显然仍处于基础研究领域。我们花了近14年时间才将单一酶的一个尚未被识别的小结构元素与一种严重的人类疾病联系起来。”
科学家认为研究仍需更多锲而不舍的精神,未来可以期望阿尔茨海默病被治愈的可能。
信源:Dailymail等












































