最近《华盛顿邮报》报道了一起华裔家庭身上颇具宿命感的遗传怪病。
被采访者是一名华裔女生,其父亲的兄弟姐妹和堂兄妹们,都在五十出头全部去世。
好好的一个人突然就会出现精神错乱、失忆昏迷、肢体不受控等行为异常现象。从发病到去世,最多撑不过一年。
这种全球仅几十个家族感染的遗传类怪病,此前曾在食人族中大规模爆发,病毒会把人脑蛀成海绵,至今没有任何治疗方案。更可怕的是,这种疾病在疫情爆发的三年里,还曾发生过疑似实验室泄漏的事故… …
事件当事人Cindy Lam,从记事起就发现父亲这边的长辈在50岁出头时就相继离世。最小的姑妈在42岁就突然撒手人寰。
这些身体健康的长辈们,在怪病上身后会突然失智失语、走路摔倒、认不出家人并肢体不协调。

(图源:电影《请叫我英雄》)
因为发病之前毫无征兆,送医也都以死亡告终。这种代代相传的“怪病”,就成为Cindy家族中一个不敢触碰的禁忌。
这种神秘悲凉的宿命感,也让Cindy一直担心自己的父亲会是家族中下一个被诅咒的病人。
但厄运还是在2019年降临到了Cindy父亲身上。
患病前,Cindy的父亲不仅身体素质良好,还很擅长篮球。每天都会和朋友们在午餐后,一起上场投几个三分球。这个习惯坚持了几十年不曾间断。
但2019年的某一天,Cindy父亲突然在场上摔倒。几个星期后,身为电气工程师的父亲开始快速失忆失智,不仅连最简单的数学题都不会做。整个人也仿佛“鬼上身”一般,连厨房里的牙签和自己家人都认不出来。

(认知障碍示意图)
Cindy将父亲送医后,得到一个不幸的消息——父亲患有致命性家族性失眠症(FFI),生命仅剩6到12个月。
果不其然,父亲在确诊后就丧失了语言能力和行为能力。全身上下只能依靠活动眼睛和眉毛,来和人做简单交流。

(同类病症患者示意图)
在发病一年后,Cindy只能眼睁睁看着父亲痛苦地离开人世。
更让Cindy担心的是据医生透露,这种超小概率的罕见病,世界上仅有几十个家族携带遗传基因。Cindy作为家族中一员,她本人也有50%的遗传概率。
致命性家族性失眠症(FFI)发病后,患者会持续失眠,整夜不能入睡。进而出现幻视幻听、记忆力丧失、暴躁惊厥,丧失行为和自控能力,最终在臆想的惊恐中痛苦离世。
当今世界没有任何药物能治疗致命性家族性失眠症(FFI),一旦发病最多只能活7到36个月。
这种病之所以这么可怕,主要是因为它与疯牛病同属于一类疾病,都是由朊毒体(prion)引起。
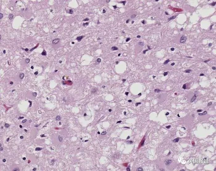
组成朊毒体的错误折叠的朊蛋白(PrP),是一种具有感染性的致病因子,进入到哺乳动物体内,会在大脑不断复制并变异出来一种新病毒,例如致命性家族性失眠症(FFI)、克雅式病(人患病)和牛海绵状脑病(也称疯牛病)等。

朊病毒入侵如空海绵一样的大脑
这类疾病会使哺乳动物精神错乱,运动失调、惊恐暴躁等。

(图源:电影《釜山行》)
感染1年后,约90%的人和动物都会死亡,且目前尚没有有效的治疗方法。
朊病毒最初被发现是在18世纪。当时德国农场内大批近亲繁殖的羊都患上一种传染性疾病。病羊会一刻不停的摆动摇晃,用身体摩擦树桩,直到精疲力尽后死亡。当地人把这种奇怪的传染病称为“羊搔痒症”(Scrapie)。
1962年左右,有兽医学家发现病羊的大脑被蛀空,而且这种疾病能跨物种传染且具有遗传性。
同一时期,美国兽医学家发现巴布亚新几内亚的食人族,也会患上一种大脑被蛀空疾病,当地人称其为库鲁(Kuru)病。
病人多数为女性和儿童。发病后会头痛关节痛、走路打颤、语无伦次、举止暴躁怪异,最后会在持续大笑中去世。
根据观察,食人族风俗中要求死者的尸体要被族群分而食之。男性会食用肌肉,女性和儿童则分吃大脑和剩余部分。而大脑刚好是病毒最丰富、最活跃的载体。
研究者由此推断,这两种症状相同的传染病虽然分别发病于羊和人类,但很可能属于一类疾病。
之后的几十年里,不断有遗传学家和神经学家根据人类和动物样本研究,发现近亲繁殖和同类相食是病原传播的症结。
1982年,美国生物化学家斯坦利. B. 普鲁辛纳(Stanley.B.Prusiner)发现这种应该被称为朊病毒(Prion)的病原体,可以在基因里传递,然后疯狂传染。
斯坦利. B. 普鲁辛纳(Stanley.B.Prusiner)也因此在1997年获得诺贝尔生理学或医学奖,但朊病毒如何破解却无任何进展。
人类甚至无法掌握朊病毒到底有多少种传播途径,还有哪些亚种形式?
甚至到了1986年,英国还将牛羊的内脏、脑髓等边角料制作的饲料,大规模投喂牛羊,导致“疯牛病”(Mad Cow Disease)在欧洲各国相继蔓延。
之后潜伏在牛羊体内的朊病毒,又感染到了人体,形成了更危险的亚种——克雅氏病。
克雅氏病除了朊病毒家族共有的睡眠紊乱,失语失忆,视觉丧失,肌肉萎缩等症状和一年内死亡特征外,还常有染色体家族遗传倾向。
患者会将携带克雅氏病的基因,一代代传递下去。
更可怕的是,最近几年还有多例“克雅氏病实验室泄漏事件”。
2010年时,法国研究人员人员Milie Jaumain在实验时不小心刺破手指而感染病毒。
2017年11月,度过了长达7年潜伏期的Milie Jaumain突然确诊了克雅氏病。她的上半身肢体开始出现灼烧感,疼痛也开始快速蔓延至全身。
2019年1月,Milie Jaumain出现失忆幻听和重度焦虑,并于当年6月去世,享年33岁。
这里的克雅氏病和开篇华裔家族集体患上的致命性家族性失眠症一样,都是朊病毒在人体内形成的亚种。除了有很大可能继续遗传给下一代,并继续在下一任宿主身上产生新的亚种。
此后她的家人以过失杀人罪和危及生命安全罪,起诉了该机构和研究院。官司一直打到今年,仍未有结果。
2020年,一位西班生物化学专家在巴塞罗那大学的实验室内感染了克雅氏病。
确定感染后,这位专家没有向上一级和同事公布自己的病情,而是秘密退出了研究项目,并于2022年因克雅氏病去世。
这种业界专家因泄露感染而去世的案例,又给朊病毒增添了几分神秘可怕的色彩。
更让人细思恐极的是,这次造成专家感染的实验室本身没有处理高生物危害样本的设备,甚至没有生物安全罩。
此前没有造成泄露,已经堪称不幸中的万幸。
在这次事件后,巴塞罗那大学下令关闭实验室并进行大规模消毒。

巴塞罗那大学医学院实验室4141
已故专家留下的数千份具有潜在风险的生物样本,也被送去专业机构进行分析。后经证实,这些样本都具有潜在传染性。
目前尚不清楚已故专家是如何被感染的,有没有危险样本经他手流出实验室,他实验室的同事是否已经感染尚在潜伏期。
如果真的有样本未经处理就流出,那造成的后果将不堪设想。
巧的是,就在前两周,今年11月14日,美国黄石国家公园表示,在黄石湖附近发现了一只死亡的“僵尸鹿”,警告游客远离野生动物出没的区域。这种名为“鹿慢性消耗病”(Chronic wasting disease, CWD)的病毒,正是朊病毒的另一种新型亚种。
如今已经蔓延到了全美31个州,很可能会由鹿传染给人。

而除了美国外,加拿大、挪威、瑞典、芬兰以及邻近的国家韩国,也都有少量CWD病毒的输入病例。
可见,朊病毒入脑的“僵尸鹿”不论是传染速度和规模都不容小觑。
最后回到事件本身上来。前面讲到Cindy一直担心自己会遗传父亲的基因,有一天会确诊致命性家族性失眠症(FFI)。所以在2021年,Cindy和家里的其他亲戚一起去做了基因检测。
幸运的是,检测结果显示Cindy没有携带FFI基因,可以安全度过自己的后半生。
这个皆大欢喜的结果让她又喜又悲,喜的是自己受到上天的眷顾,同时又有一种内疚又复杂的心情,对于家族其他成员仍未能摆脱基因带来的厄运,感到无能为力而痛心。
自己唯一能做的就是过好当下,这也是她父亲希望看到的结果。
Cindy的想法也获得了网友的肯定,当然,也有人劝她不要随便生育,以免遗传给下一代。
“这样的家庭生孩子,重要的是去做基因测试。我明白很多人不能理解,但如果是我的话,只会收养不会生孩子。
Cindy,我很高兴你能逃过一劫,因为无论什么原因的痴呆和慢性消耗类疾病都很可怕。”
也有人劝Cindy不要多想,觉得她已经做得很好了,过好自己的日子就是对父亲最大的宽慰。
“衷心希望那个可怕的基因突变能够消失。科技在飞速发展,有很多优秀聪明的人加入其中。
辛迪,为你勇敢分享你的家庭故事而干杯。希望你能把和父亲的美好回忆永存心底。”

“谁都可能会在明天迎来死亡,所以要尽力过好当下的每一天。”
但就像这位网友说的那样,既然朊病毒仍有未解之谜没被攻克,我们能做的不多,只能期待早日能有破解的医疗方法诞生吧。













































