28岁的Derek Laurie绝对是精准治疗时代的幸运儿。
最初他出现背部疼痛时并没有在意,他以为只是拖车司机这份工作需要经常搬运车辆造成的肌肉酸痛。直到他疼的无法走路才去了医院,结果令他万万没想到的是,原来有一个硕大的肿瘤已经压迫了脊柱导致他无法行走。因为发现的太晚了,已经是最末期,医生说他的生存期只有一两年。
Derek说:“没有人知道肿瘤是从哪来的,也不知道为什么会出现,只知道我体内有一个丑陋的基因,让我丧命”
Derek的未婚妻无法接受这样的事实,这让他们原本拮据的生活更加家徒四壁。为了治疗,他们卖掉了房子和各种值钱的东西,白天开着拖车四处求医,晚上就睡在车上。
也许是这种不放弃,强烈的求生欲望救了他。在南卡罗来纳州的一家医院,医生建议他做基因检测看看。检测完之后,他进入了一项名为larotrectinib的实验药物的临床试验。
用药第一天,他就感觉自己好多了,他本以为是心理作用,但到了第三天他相信奇迹发生在了自己身上,因为他不在需要拐杖,可以独立行走了。两周后,他开始回复正常的饮食,可以和自己的两个孩子打闹,他看起来和正常人没什么两样。
更让人振奋的是,Derek并不是唯一获益于传奇抗癌药物larotrectinib的幸运儿,这款药物经拯救了全球无数的癌症患者。
和Derek一起参加临床试验的50名患者,有38位(占76%)的肿瘤明显缩小。其中79%的患者在治疗12个月后肿瘤没有进展。值得一提的是,这50名患者的肿瘤完全不同,有肺癌,肉瘤,结直肠癌,胰腺癌等17种不同的癌症类型,但是他们有一个共同点:都存在NTRK融合,一种罕见而致命的基因变异,而这正是larotrectinib的攻击目标。
对17类癌症有效,传奇抗癌药拉罗替尼震撼上市
2018年11月,基于儿童和成人实体瘤卓越的临床试验数据,全球首个不区分肿瘤来源用于初始治疗的靶向药–Vitrakvi ®(拉罗替尼,larotrectinib,下文统称拉罗替尼)震撼上市,用于成人和小儿具有神经营养受体酪氨酸激酶(NTRK)基因融合的实体瘤治疗。
Larotrectinib在多种肿瘤类型中都有一致的有效性(图片来源:拉罗替尼官网)
现在,更多像Derek这样的肿瘤患者可以获益于拉罗替尼。
01
挑战“癌王”:81岁高龄的晚期胰腺癌几乎全部消失
一位81岁高龄的老爷子,确诊时已是胰腺癌晚期。手术后不到半年就复发了,只能接受化疗,但胰腺癌侵袭性太强了,各种化疗方案根本阻挡不住病情的疯狂进展,癌症很快转移到了肝脏上,出现3个大小不一的病灶。
幸运的是,老爷子存在NTRK融合并成功入组了临床试验。在接受拉罗替尼治疗一年后,影像学检查显示,老爷子肝脏病变几乎完全消失(图2)。并且如此高龄的他对治疗完全耐受,既没有调整剂量也没有出现明显的不良反应。在文献发表时,患者接受了larotrectinib治疗已经13个月了。
02
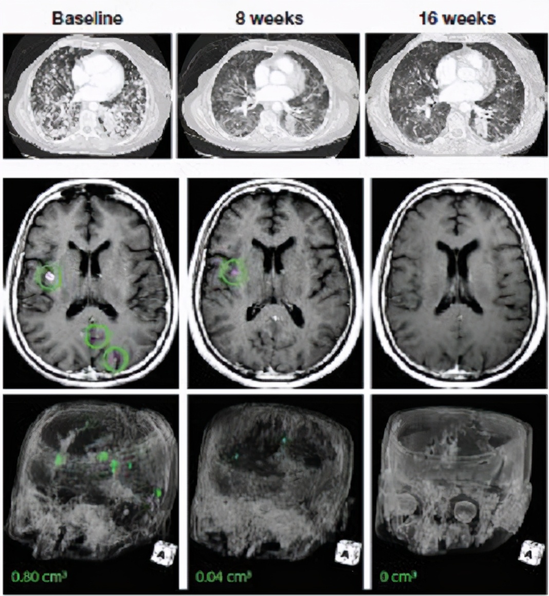
肺癌脑转移:一线治疗,脑部肿瘤几乎全部消失
一位78岁的女性既往没有接受过任何治疗的晚期肺癌患者,确诊时已经出现了严重的脑转移,拒绝接受化疗,基因检测后发现存在EPS15-NTRK融合。
接受拉罗替尼治疗后,肺部的病灶缩小了34%。脑部的转移灶几乎全部消失(减少95%)。
03
唾液腺癌:用药四天肿瘤迅速缩小
2014年,61岁的Keith Taggart的脸颊上出现了一个豌豆大小的肿块,最终被确诊为唾液腺癌。这个肿瘤就像是种在他身上的魔咒,每次他刚从手术中恢复,肿瘤就会重新长回来,直到手术无法及时清除一次次爆发的肿瘤,在一次全身扫描后,Keith绝望了,肿瘤已经侵袭了他所有重要的脏器,包括肺,肝和肾脏…
医生告诉他,他现在的第一治疗选择是化疗,可以多活三四个星期;第二个选择是参加一项新药的临床试验,这就是当时还未被大家熟知的拉罗替尼。
Keith决定放手一搏,顺利入组后,Keith开始每天两次服用拉罗替尼,让人无法想象的是,这款药物就像是Keith肿瘤的克星,让肿瘤细胞闻风而逃!仅仅4天后,Keith的颈部,面部和胸部的肿瘤缩小了大半,以至于他已经摸不到了。一个月后的CT扫描显示,除一个肿瘤外,其他所有肿瘤均消失。仅剩的那个也缩小了65%!并且随着时间的流逝,它不断缩小。现在他已经恢复健康。
精准治疗时代挖掘的“钻石”靶点NTRK
拉罗替尼的问世,让很多NTRK融合癌症患者接受治疗后奇迹重生!自此,“钻石”靶点基因-NTRK迅速的火遍了癌友圈,开启了泛癌种治疗的新纪元!
NTRK之所以被誉为“钻石”基因,首先是因为它非常罕见,在中国常见的肺癌,乳腺癌,结直肠癌中,只有1%~5%的患者存在这种突变,而一些罕见的癌症,比如婴儿纤维肉瘤和分泌型乳腺癌,存在NTRK融合的频率却高达90%~100%。其次,针对NTRK融合突变上市的药物及在研的药物临床效果显著,接受治疗的患者通常都能快速起效,很多晚期患者在使用NTRK抑制剂后得到了重生,像钻石一样罕见又珍贵。
当NTRK基因家族,包含NTRK1、NTRK2和NTRK3,任何一个基因如果和其他的基因发生了融合突变,那么就会导致异常活性,驱动肿瘤的发生。比如目前,婴儿纤维肉瘤,先天性中胚层肾病和分泌性乳腺癌都显示出ETV6-NTRK3融合,就是ETV6和NTRK3基因发生了融合,以及TPM3-NTRK1,就是TPM3和NTRK1基因发生了融合。
目前已发现NTRK融合存在于超过25类癌症中,包括乳腺癌、结直肠癌、肺癌、甲状腺癌等,成人和儿童患者都可以使用。
关于NTRK融合的检测,FDA已经专门批准了NTRK的检测产品。
做过基因检测的病友,可以将基因检测报告发送至全球肿瘤医生网医学部进行全面分析解读,一旦存在这个“钻石”靶点,就有机会免费接受新药临床试验。.
扩散!众多NTRK抑制剂中国临床试验招募已开启
这样的案例还有很多很多,我们无法在一篇文章中一一介绍,值得庆幸是,中国的癌症患者迎来了好时代,除了拉罗替尼,还有两款美国的NTRK抑制剂及五款中国自主研发的NTRK抑制剂正在进行临床招募,并且已经有NTRK融合的患者通过全球肿瘤医生网医学部成功入组并接受治疗,成功逆转了病情,我们希望有更多的病友知道这个好消息,有更多的病友能够获益于这些新型的抗癌药物,战胜癌症!
科技的进步,拉罗替尼 Vitrakvi(larotrectinib)等新药物的研发成功是抗癌史上的一次飞跃,我们期待中国也能自主研发这类抗癌特药,将会惠及到更多的中国老百姓。更期盼人类最终完全攻克癌症的那一天!












































