logoMenu

一顿年夜饭惊动10个科室30位专家大抢救!就是因为它!

2021-02-17 |作者: | 来源:医学界

Loading...

Lead

每逢佳节“卡刺多”,听听医生怎么说

 

来源:医学界

微信ID:yixuejiezazhi

节聚餐要讨彩头,桌上少不了大鱼大肉。

 

于是,节前至今,医生们不断提醒:答应我,小口咬,好好嚼,慢慢咽。

 

 
但,每逢佳节“卡刺多”的问题,又双叒叕地出现。
甚至不久前,武汉大学人民医院(湖北省人民医院)胸外科领衔多学科诊疗团队,同一天就从死亡线上拉回两条险些被鱼刺耽误的生命。
一个是生吞8cm鱼刺、插穿食管壁,一个是大快朵颐后鱼刺逼近主动脉。
01
小鱼刺引发“大血案”
2月9日中午,湖北咸宁曹先生边吃饭边聊天,突然一呛,吞下去整块鱼。瞬间,他感觉喉咙被扎,咳嗽不止。
家人连忙拍背,让他吞米饭,把鱼刺咽下去。然而并没有效果。他的胸口像针扎一样,越来越痛。
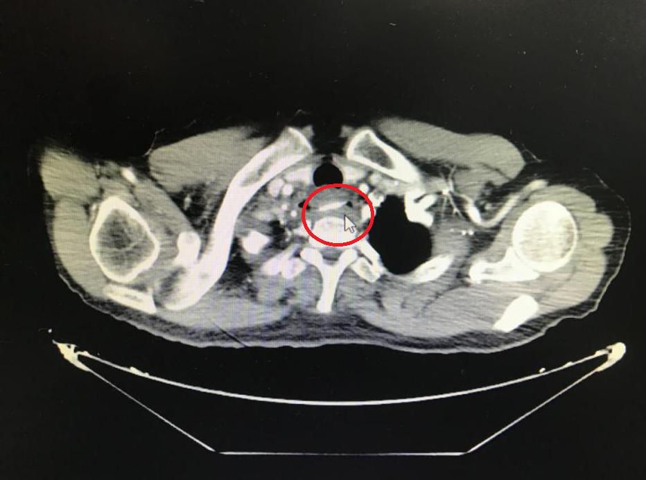
曹先生紧忙赶到当地医院。CT检查发现,一根鱼刺状异物横卧在食管,已经刺穿食管壁,尖头紧贴心脏主动脉!
情况紧急,曹先生和家人立即奔赴武汉大学人民医院。此时,距他误吞鱼刺,已有6个多小时。
了解情况后,该院胸外科耿庆教授团队联合心血管外科、消化内科、放射科、麻醉科等,组建MDT团队,紧急分析讨论病情后一致认为:任何轻微的外力刺激,都可能使鱼刺刺穿血管,致大出血,患者随时可能猝死;食管已被刺破,引发感染,死亡率也很高。
救治团队当机立断,将其送入手术室,行全麻下急诊开胸探查。胸外科耿庆教授和汪巍副教授联手,从左侧开胸探查胸腔,小心翼翼松解胸腔粘连,清理干净分泌物后,发现鱼刺已刺穿食管。鱼刺尖端正处于主动脉弓下方,距离主动脉弓仅有1毫米,差点就要伤及主动脉。
顺利拔除鱼刺后,耿庆教授立即修补食管。术后,曹先生病情稳定,转入重症医学科接受进一步治疗。
02
圆月弯刀,刀刀致命
同样“遭罪”的还有武汉江夏,爱喝小酒吃小鱼的胡爷爷。
鱼刺卡喉后,他也吞了饭。结果,食管穿孔,生命危在旦夕。

胸外科耿庆教授、汪巍副教授领衔耳鼻喉科、消化内科、麻醉科、放射科等MDT团队倾力救治。术中经左侧颈部入路,然后经胃镜探查食管,最后行颈段气管食管瘘修补术+颈侧切开食道异物取出术,成功取出这根鱼刺。

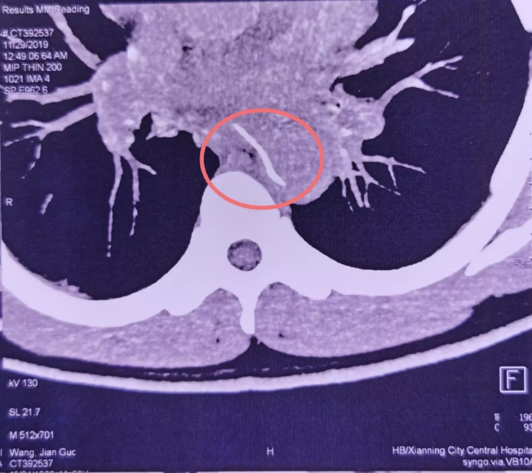
纵然专家见多识广,看到鱼刺也连连惊叹:“圆月弯刀状的鱼刺长达8厘米,真不知道是怎么咽下去的!”
03
鱼刺扎进主动脉
湖北咸宁的林先生也因为“圆月弯刀鱼刺”,差点付出生命代价。
一顿饭后,他感觉有鱼刺卡在喉咙,便强吞两口饭、咽下鱼刺。两天后,他突感剧烈胸痛,至武汉大学人民医院急诊科就诊。
检查发现,鱼刺像一把圆月弯刀,横插在食管和胸主动脉附近,已刺穿食管壁。如果盲目拔出,必定会形成主动脉破口。胸主动脉是人体最粗大的动脉血管,压力很高。一旦形成破口,出血犹如“大坝决堤”一般,难有抢救机会。
在医疗部组织下,医院胸外科、心血管外科、耳鼻喉-头颈外科、消化内科、介入科、放射科、麻醉科等10个科室30位专家,紧急讨论,认为必须马上将鱼刺取出。如果任其留在体内继续感染,林先生将失去最后的机会。
专家团队确定微创取刺手术方案。但没想到,上了手术台,内镜反复探查,术前本已定位精确的鱼刺,不见了!
专家团队判断,很有可能是术前随食道蠕动,或主动脉内血流强劲冲击,这根鱼刺穿出食管进入胸腔甚至主动脉。此时已没有微创取刺的可能,必须尽快开胸探查将鱼刺取出。
手术方案立即调整。胸外科黄杰教授团队接力上台。果然,鱼刺穿出食管,几乎整个扎进主动脉内,仅在外露出3毫米的刺尖。
而就在林先生手术当天,该院胸外科谢颂平副教授还成功救治一例鱼刺卡喉处理不当,导致食管穿孔、纵隔脓肿的患者。
04
喝醋、吞饭:极端错误!
该院重症医学中心魏捷教授提醒,鱼刺卡喉后,咽米饭、喝醋等土办法都是极端错误的!
胸外科耿庆提示,如果卡在比较浅显部位,且鱼刺不大,可低头弯腰轻轻咳嗽,借助咳嗽产生的气流作用,带出鱼刺。如果鱼刺被卡位置比较深,或鱼刺较大,异物感明显,伴随颈部、胸部刺痛,千万不要强行用力吞咽,更不要喝醋、吞馒头,应立即前往医院求助。前期卡住的话,耳鼻喉科医生、消化内镜医生,基本上分分钟能搞定。
否则,可能就是治疗费几十块和几十万的区别,或是在与不在的区别

 

 

-END-

 

来源|医学界

责编|林伯宴

平台|她乡LaChic

 I D |chicvancouver

 

版权声明:【除原创作品外,本平台所使用的文章、图片、视频及音乐属于原权利人所有,因客观原因,或会存在不当使用的情况,如,部分文章或文章部分引用内容未能及时与原作者取得联系,或作者名称及原始出处标注错误等情况,非恶意侵犯原权利人相关权益,敬请相关权利人谅解并与我们联系及时处理,共同维护良好的网络创作环境】

 

 

 

声明:转载此文是出于传递更多信息之目的,并非代表本站支持其观点。若有文字、图片及视频等素材来源标注错误或侵犯了您的合法权益,请作者持权属证明与本网联系,我们将及时更正、删除,谢谢。

Fungo Ads

声明:转载此文是出于传递更多信息之目的,并非代表本站支持其观点。若有文字、图片及视频等素材来源标注错误或侵犯了您的合法权益,请作者持权属证明与本网联系,我们将及时更正、删除,谢谢。


阅读

未经允许不得转载:加拿大乐活网 »一顿年夜饭惊动10个科室30位专家大抢救!就是因为它!
分享:

相关推荐